Ir para o conteúdo
HOME
O CONSULTÓRIO
NOSSOS SERVIÇOS
PORTFÓLIO
DICAS
CONTATO
HOME
O CONSULTÓRIO
NOSSOS SERVIÇOS
PORTFÓLIO
DICAS
CONTATO
Agendar uma consulta
Portfólio
Home
Portfólio
Nosso clientes
Confira os resultados
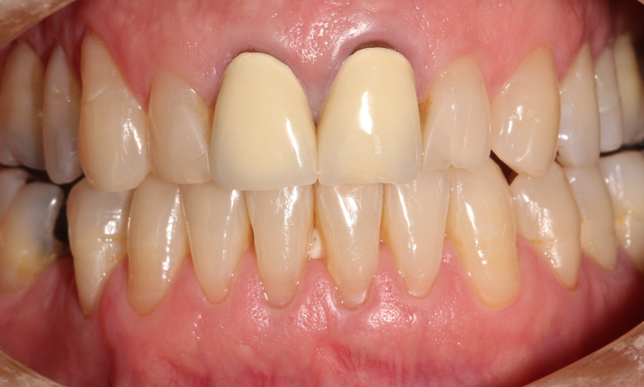
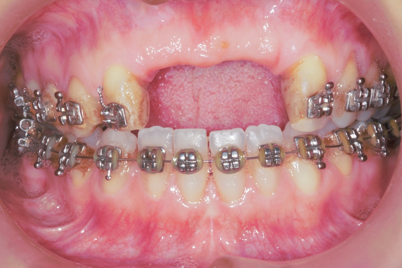
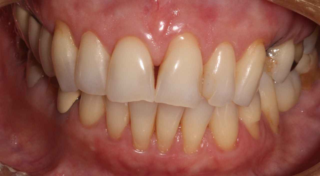
Reabilitação Oral
Implantes dentais
Restaurações estéticas
Reabilitação Oral
Implantes dentais
Restaurações estéticas
PRÓTESE TOTAL (DENTADURA)
PRÓTESE PARCIAL FIXA
PRÓTESE TOTAL (DENTADURA)
PRÓTESE PARCIAL FIXA